ニュース
AIで新型コロナ肺炎の診断支援、富士フイルム
2020/05/20 17:30

開発は、新型コロナ肺炎の患者を受け入れている国内の医療機関との共同研究で推進する。まずは、神奈川県立循環器呼吸器病センターとの共同研究をスタートし、今後、共同研究先を複数の国内医療機関に拡大していく予定。
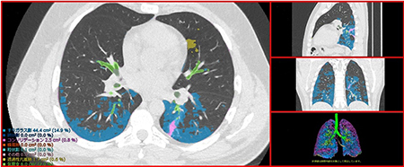
富士フイルムの間質性肺炎の定量化技術は、AI技術を用いて設計したソフトウェアが、CT画像から肺野内の気管支、血管、正常肺、網状影やすりガラス影、蜂巣肺など肺の7種類の病変性状を識別し、自動で分類・測定することで、間質性肺炎の病変を定量化するもの。さらに、肺野内の病変の分布と進行状態を詳細に確認できるよう、肺野を12の領域に分割し、その領域ごとに、病変の容積と割合を表示する。
この技術の開発にあたり、同社は18年春から京都大学と共同研究を開始。富士フイルムが開発した間質性肺炎の病変を分類・定量化するAI技術を京都大学が保有する症例データに適用。識別性能の評価と改善のフィードバックを繰り返し実施し改良することで、高精度な識別性能を実現した。
今回同社は、この間質性肺炎の定量化技術を活用し、新型コロナ肺炎患者の経過の評価、治療効果の判定を支援する技術開発をスタートした。今後開発が期待されるさまざまな治療薬の効果判定にも利用できる技術を確立することで、新型コロナ肺炎の治療薬の開発・評価の加速にも貢献できると考えている。
富士フイルムでは、医療画像診断支援、医療現場のワークフロー支援、そして医療機器の保守サービスに活用できるAI技術の開発を進め、これらの領域で活用できるAI技術を、「REiLI(レイリ)」というブランド名称で展開している。今後も、医療現場のさまざまなニーズやワークフローに適したソリューションを提供するため、医師の画像診断支援やワークフローの効率化を目指したソリューション開発をスピーディーに進めていく方針。
- 1
関連記事
富士フイルム、日立製作所の「画像診断関連事業」を1790億円で買収、医療分野を拡充
1km先のナンバープレートが撮れる超望遠監視カメラ、富士フイルム